Imagerie Pédiatrique 2025
Imagerie Pédiatrique
PLAN DU SITE
TECHNIQUE
PATHO PEDIA GENERALE
NEUROLOGIQUE
ORL/ FACIALE/ COU
THORACIQUE
CARDIO-VASCULAIRE
ABDOMINALE
GENITO-URINAIRE
OSTEO-ARTICULAIRE
PEAU - T. MOUS
ONCOLOGIE
FOETAL
SYSTEMIQUE
SYNDROMIQUE
URGENCES
September 2025
August 2025
July 2025
RSS Feed
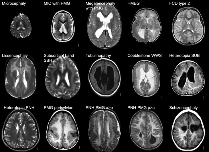
Troubles de la maturation et de la migration du cerveau pédiatrique.
02/09/25 19:01
https://www.michel-lewin.be/resources/diagnostics-12-01123.pdf