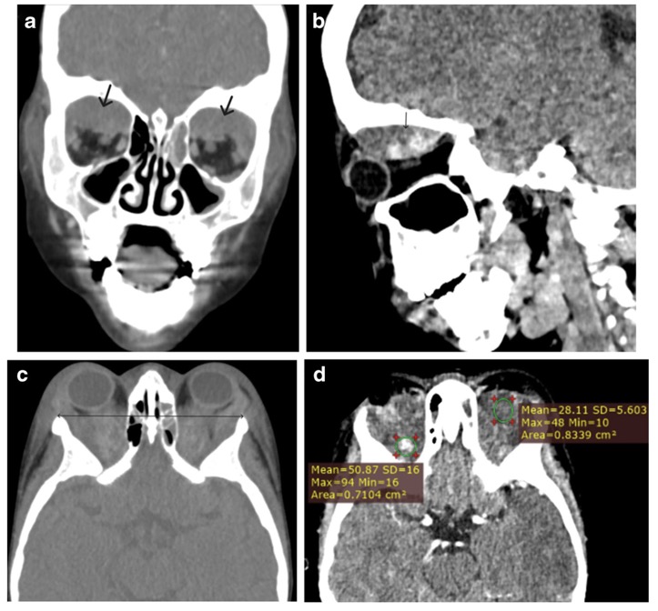
Hématomes sous-périostéaux bilatéraux
16/11/25 11:12
Les infarctus osseux peuvent parfois impliquer l'orbite lors d'une crise vaso-occlusive
=> hématomes sous-périostéaux
=> imite des infection ou tumeur
Diagnostic: CT C+ exclut infection



TRT: décompression chirurgicale
=> hématomes sous-périostéaux
=> imite des infection ou tumeur
Diagnostic: CT C+ exclut infection



TRT: décompression chirurgicale