ADEM vs SEP
03/06/25 15:07
Encéphalo-Myélite Disséminée Aigüe
Atteinte inflammatoire et démyélinisante du système nerveux central touchant principalement les enfants (6 et 8 ans)
(mécanisme probablement auto-immun contre la myéline)
Evolue sur un mode monophasique (Il existe de rares formes polyphonique)
=> associe
1. Symptômes neurologiques multifocaux aigüs ou subaigüs suite à une infection (2 à 30j) ou vaccination (3 mois)
sévérité maximale autour du 4e ou 7e jour après 1er signe neuro
dure généralement 2 à 4 sem
2. Encéphalopathie (irritabilité, confusion et somnolence => léthargie => coma franc)
- Moteur, Cérébelleux/Ataxie
- Paires crâniennes, Névrite optique (bilatérale++)
- Troubles sensitifs (hémiparesthésie)
- Atteinte du TC (troubles respiratoires+++)
3. Signes de myélite aiguë:
- Tétra/paraplégie
- Troubles vésico-sphinctériens
- Sensitifs
- Abolition des ROT
4. Fièvre et raideur de nuque
=> Bon pronostic avec guérison lente (normalisation totale ou quelques plages de démyélinisation et de gliose)
5. IRM cérébrale 0-72h (A répéter après quelques jours si N)
- Pondération T2: DP- T2 SE (PLUS SENSIBLE QUE FLAIR!!!)
- FLAIR (encéphale) STIR (moelle)
- T1 SE sans et après injection de Gadolinium
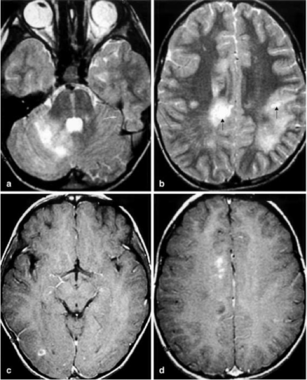
A. Lésions démyélinisantes du SNC (Cv: SB et SG, Cvt, TC, Moe, NGC)
- Lésions punctiformes à > 1-2cm voire forme pseudo-tumorale
- hyperT2/Flair => des couronnes radiantes, des noyaux lenticulaires, thalamus, loci niger
=> SB péri-V et sous corticale
- DIFFUSION NORMALE (SI ALTÉRÉE = MAUVAIS PRONOSTIC)
- Multiples, bilatérales, ASYMÉTRIQUES et MAL DÉFINIE
- récentes et du MÊME âge
- C- (rarement C+)







B. Lésions Moe Hypersignal T2 hyposignal T1
- Plus diffuses et inflammatoires: de petite taille, périphériques et multifocales, souvent cervicales
- thoracique souvent
- Effet de masse (Elargissement focal du cordon)
- (C+ uniforme rare)
- Thoracique fréquente
Pas de nouvelles lésions IRM au contrôle à 3 mois
DD: SEP
- Lésions Moe en plaques démyélinisantes bien localisées
- effet de masse et œdème : rare
TRAITEMENT
1. Acyclovir et antibiotiques à large spectre jusqu’à ce qu’une infection par bactérie ou herpès soit exclue.
2. Glucocorticoïdes intraveineux à forte dose puis relais PO
3. Ig IV si échec
4. Plasmaphérèse
___________________________________________________________________
ADEM
encéphalomyélite aiguë disséminée
encéphalite post-infectieuse
maladie inflammatoire auto-immune démyélinisante post virale, bactérienne ou à une vaccination
entre 5 et 8 ans
aigu 1 à 6 mois
rémission complète = 50 à 75 %
Adem est une pathologie quasi toujours réversible et < 10 ans sinon on pense sep
typiquement
- sous-cortical
- inter-hémisphériques
- cervelet
- tronc cérébral
- moelle spinale
- ((périventriculaire / cortex / thalamus /noyaux gris centraux))
Clinique bruyante aiguë
• Faiblesse progressive des membres inférieurs, ataxie, dysarthrie
• changement de capteur : vision floue due à une névrite optique
• rétention urinaire, constipation
• statut épileptique, hémiplégie, monoparésie,
IRM
Lésions hyper FLAIR multiples
Patches hyper T2 bilat asym + NGC + CC + TC

Pas de DWI
Pas de lésion vasc
Pas de lesion hémorragique
C+ : 30% des cas (ring-like, focal and diffuse/patchy)
DD
Adem asym, périph DWI - ngc synchrone
Encéphalite sym, pfd DWI+ tempo int
___________________________________________________________________
Atteinte inflammatoire et démyélinisante du système nerveux central touchant principalement les enfants (6 et 8 ans)
(mécanisme probablement auto-immun contre la myéline)
Evolue sur un mode monophasique (Il existe de rares formes polyphonique)
=> associe
1. Symptômes neurologiques multifocaux aigüs ou subaigüs suite à une infection (2 à 30j) ou vaccination (3 mois)
sévérité maximale autour du 4e ou 7e jour après 1er signe neuro
dure généralement 2 à 4 sem
2. Encéphalopathie (irritabilité, confusion et somnolence => léthargie => coma franc)
- Moteur, Cérébelleux/Ataxie
- Paires crâniennes, Névrite optique (bilatérale++)
- Troubles sensitifs (hémiparesthésie)
- Atteinte du TC (troubles respiratoires+++)
3. Signes de myélite aiguë:
- Tétra/paraplégie
- Troubles vésico-sphinctériens
- Sensitifs
- Abolition des ROT
4. Fièvre et raideur de nuque
=> Bon pronostic avec guérison lente (normalisation totale ou quelques plages de démyélinisation et de gliose)
5. IRM cérébrale 0-72h (A répéter après quelques jours si N)
- Pondération T2: DP- T2 SE (PLUS SENSIBLE QUE FLAIR!!!)
- FLAIR (encéphale) STIR (moelle)
- T1 SE sans et après injection de Gadolinium
A. Lésions démyélinisantes du SNC (Cv: SB et SG, Cvt, TC, Moe, NGC)
- Lésions punctiformes à > 1-2cm voire forme pseudo-tumorale
- hyperT2/Flair => des couronnes radiantes, des noyaux lenticulaires, thalamus, loci niger
=> SB péri-V et sous corticale
- DIFFUSION NORMALE (SI ALTÉRÉE = MAUVAIS PRONOSTIC)
- Multiples, bilatérales, ASYMÉTRIQUES et MAL DÉFINIE
- récentes et du MÊME âge
- C- (rarement C+)







B. Lésions Moe Hypersignal T2 hyposignal T1
- Plus diffuses et inflammatoires: de petite taille, périphériques et multifocales, souvent cervicales
- thoracique souvent
- Effet de masse (Elargissement focal du cordon)
- (C+ uniforme rare)
- Thoracique fréquente
Pas de nouvelles lésions IRM au contrôle à 3 mois
DD: SEP
| - Lésions | peu nombreuses et bien délimitées
TRAITEMENT
1. Acyclovir et antibiotiques à large spectre jusqu’à ce qu’une infection par bactérie ou herpès soit exclue.
2. Glucocorticoïdes intraveineux à forte dose puis relais PO
3. Ig IV si échec
4. Plasmaphérèse
___________________________________________________________________
ADEM
encéphalomyélite aiguë disséminée
encéphalite post-infectieuse
maladie inflammatoire auto-immune démyélinisante post virale, bactérienne ou à une vaccination
entre 5 et 8 ans
aigu 1 à 6 mois
rémission complète = 50 à 75 %
Adem est une pathologie quasi toujours réversible et < 10 ans sinon on pense sep
typiquement
- sous-cortical
- inter-hémisphériques
- cervelet
- tronc cérébral
- moelle spinale
- ((périventriculaire / cortex / thalamus /noyaux gris centraux))
Clinique bruyante aiguë
• Faiblesse progressive des membres inférieurs, ataxie, dysarthrie
• changement de capteur : vision floue due à une névrite optique
• rétention urinaire, constipation
• statut épileptique, hémiplégie, monoparésie,
IRM
Lésions hyper FLAIR multiples
Patches hyper T2 bilat asym + NGC + CC + TC
- • Substance blanche profonde du cerveau et du cerveau
- • de la substance blanche sous-corticale
- • du thalami
- • du tronc cérébral
- • des ganglions de la base
- • du cortex cérébral
- • de la moelle épinière

Pas de DWI
Pas de lésion vasc
Pas de lesion hémorragique
C+ : 30% des cas (ring-like, focal and diffuse/patchy)
DD
- SEP
- méningo-encéphalite infectieuse
- SAM
- vascularite
Adem asym, périph DWI - ngc synchrone
Encéphalite sym, pfd DWI+ tempo int
___________________________________________________________________