AVC de l’enfant
08/06/25 08:34
AVC DE L’ENFANT
Clinique : => délai diagn 24h!!
- céphalées
- convulsions
- troubles du comportement
Soit lésion vasculaire régresse: vasculopathie transitoire
Soit lésion vasculaire s'aggrave: vasculopathie évolutive => avc ischémique chez l’enfant ( ≠ Hémorragique adulte)
Soit idiopathique moya-moya (sténose progressive ACI => collatérales)
Soit 2aire (rxth, drepanocytose, NF1, T21)
CT:
- Effacement SB-SG
- trop belle artère Sylvienne
- thrombus tronc basilaire
MR:
- flair hypersignaux vasculaires (ralentissement)

- dwi ↗ (œdème ctx)
- swi: signe du peigne (engorgement veineux médullaire ou perfusion de luxe)
asymétrie veineuse delta >10ml
Embol: profond hyposignal
- perfusion: - exogène (Gado)
- endogène (ASL = quantitatif !!)
=>mesure débit sanguin cérébral
1. mismatch: hypoQ ASL mais DWI normal = pénombre
2. d’abord perfusion de luxe ou congest v. (pénombre) => hypoperfusion => atrophie
- eASL: Idem mais multi-delai décalage G-D arrivée spin => DD hypo perfusion ou retard perfusion
- T1 SE FS 3D haute résolution black blood
- C montre thrombus / dissection
+ C montre inflam paroi vx pathognomonique = vascularite
NB: SE meilleure pour montrer prise de contraste même pour tumeur

Cas
1. Syndrome de wallemberg: trouble marche + CBH
lésion tronc et cvt gh
dissection A. Vertébrale gh (aspect en queue de radis: 50% trauma)
IRM + CT!!
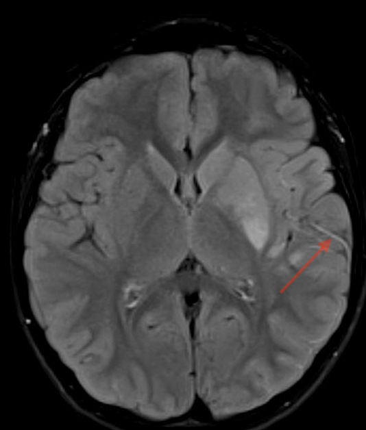
2. Kyste epidermoide comprime ACM => céphalée et hemiparésie
3. AVC + abcès (rond à paroi fine hypoT2 ADC ↘↘ et C+) => Embol septique
perte neuronale >7j => ADC ↗
4. Migraine avec aura hémiplégique :
asymétrie ASL et SWI
hyperperfusion 2-3j
12-13h hypodébit ASL
DWI normal
5. Déficit post-critique: ASL hyperperfusion
principe du couple neuro-vasculaire : neurone activé => vx dilaté => post-critique bas débit (15 à 20 min réversible sinon vrai AVC)
6. Pathologie mitochondriale: déficit énergétique
ne respecte pas de territoire mime AVC mais artère OK!!
ACD variable
ASL hyperperfusion x3 (bloc énergétique intracellulaire !!)
7. AVC du NN: 80% ACM 75% Gh Faisceau C-S => 66% séquelles
8. Drepanocytose: chercher thrombose veineuse
TRT: anticoagulant même si hémorragique !!!
DTC: démodulation d'aval avec ↘ IR (0.55=N) et (0.77=N) des ACM
=> chercher lésions carotidiennes sous jacentes
IRM
3D TOF cervical sans déplacer antenne!!!
DD sinuosité de la carotide
Plicature sévère avec Sténose significative le plus souvent proximal
bien classifiées chez l'adulte > 120°
Clinique : => délai diagn 24h!!
- céphalées
- convulsions
- troubles du comportement
Soit lésion vasculaire régresse: vasculopathie transitoire
Soit lésion vasculaire s'aggrave: vasculopathie évolutive => avc ischémique chez l’enfant ( ≠ Hémorragique adulte)
Soit idiopathique moya-moya (sténose progressive ACI => collatérales)
Soit 2aire (rxth, drepanocytose, NF1, T21)
CT:
- Effacement SB-SG
- trop belle artère Sylvienne
- thrombus tronc basilaire
MR:
- flair hypersignaux vasculaires (ralentissement)

- dwi ↗ (œdème ctx)
- swi: signe du peigne (engorgement veineux médullaire ou perfusion de luxe)
asymétrie veineuse delta >10ml
Embol: profond hyposignal
- perfusion: - exogène (Gado)
- endogène (ASL = quantitatif !!)
=>mesure débit sanguin cérébral
1. mismatch: hypoQ ASL mais DWI normal = pénombre
2. d’abord perfusion de luxe ou congest v. (pénombre) => hypoperfusion => atrophie
- eASL: Idem mais multi-delai décalage G-D arrivée spin => DD hypo perfusion ou retard perfusion
- T1 SE FS 3D haute résolution black blood
- C montre thrombus / dissection
+ C montre inflam paroi vx pathognomonique = vascularite
NB: SE meilleure pour montrer prise de contraste même pour tumeur

Cas
1. Syndrome de wallemberg: trouble marche + CBH
lésion tronc et cvt gh
dissection A. Vertébrale gh (aspect en queue de radis: 50% trauma)
IRM + CT!!
2. Kyste epidermoide comprime ACM => céphalée et hemiparésie
3. AVC + abcès (rond à paroi fine hypoT2 ADC ↘↘ et C+) => Embol septique
perte neuronale >7j => ADC ↗
4. Migraine avec aura hémiplégique :
asymétrie ASL et SWI
hyperperfusion 2-3j
12-13h hypodébit ASL
DWI normal
5. Déficit post-critique: ASL hyperperfusion
principe du couple neuro-vasculaire : neurone activé => vx dilaté => post-critique bas débit (15 à 20 min réversible sinon vrai AVC)
6. Pathologie mitochondriale: déficit énergétique
ne respecte pas de territoire mime AVC mais artère OK!!
ACD variable
ASL hyperperfusion x3 (bloc énergétique intracellulaire !!)
7. AVC du NN: 80% ACM 75% Gh Faisceau C-S => 66% séquelles
8. Drepanocytose: chercher thrombose veineuse
TRT: anticoagulant même si hémorragique !!!
DTC: démodulation d'aval avec ↘ IR (0.55=N) et (0.77=N) des ACM
=> chercher lésions carotidiennes sous jacentes
IRM
3D TOF cervical sans déplacer antenne!!!
DD sinuosité de la carotide
Plicature sévère avec Sténose significative le plus souvent proximal
bien classifiées chez l'adulte > 120°

CHEZ DREPANO
anémie chronique engendre un débit augmenté responsable d'agression accrue et donc de stenose par rapport à la population normale
infarctus silencieux en IRM?
9. Thrombophlébite : céphalée, HTIC, clinique variable
CT meilleur que MRI
chercher événement déclenchant (50% mastoïdite)
70% non repermeabilisés
La thrombophlébite intracrânienne s’accompagne toujours de signes
parenchymateux
___________________________________________________________________