Lipomatoses
19/10/25 07:37
Lipomatose:
croissance excessive du tissu adipeux mature
1. isolée
2. en association avec d'autres tissus mésenchymateux (syndromes de prolifération congénitale)
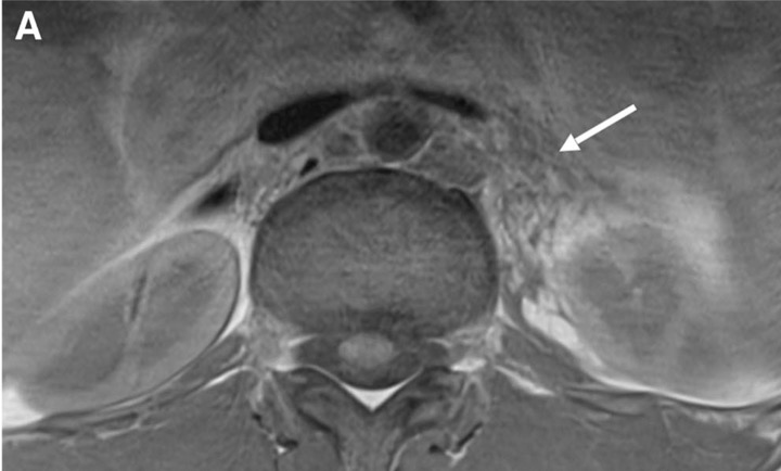
a. Lipomatose infiltrante congénitale du visage
b. Lipomatose diffuse (associée à la sclérose tubéreuse)
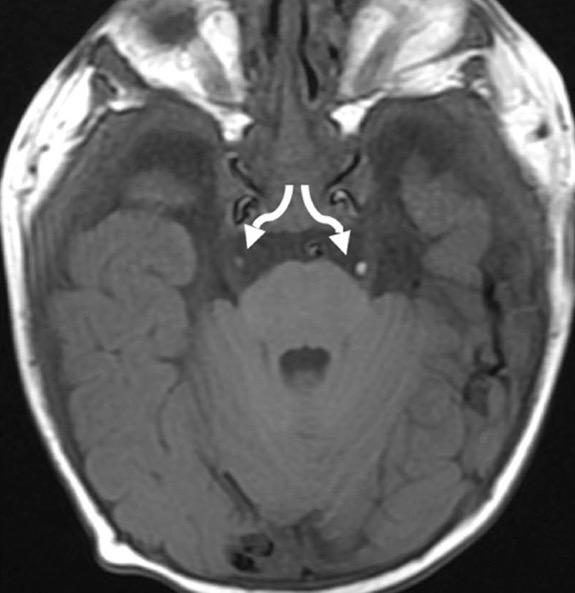
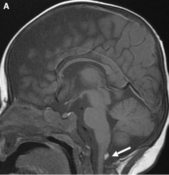
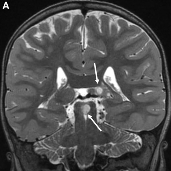
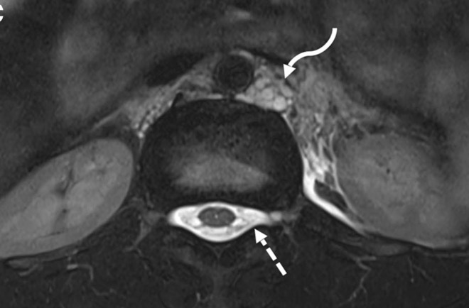
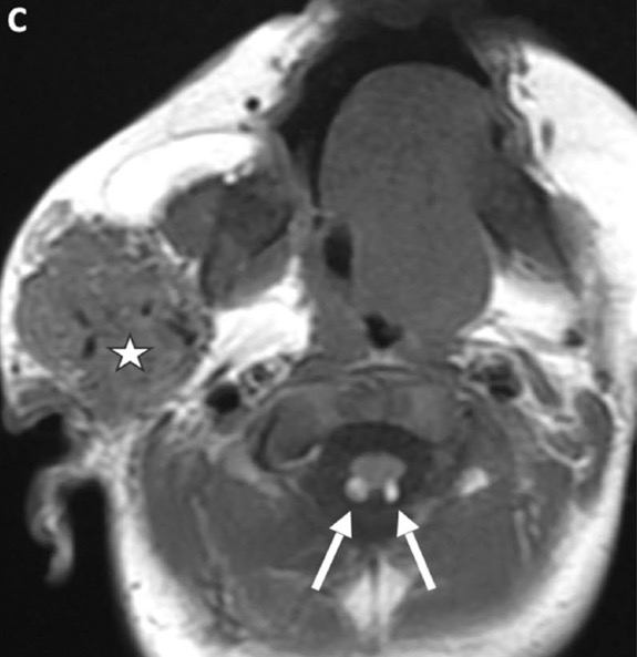
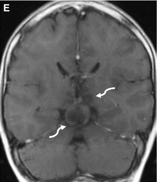
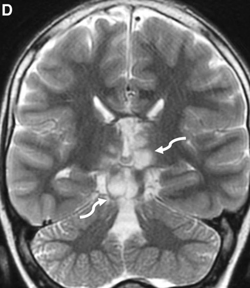
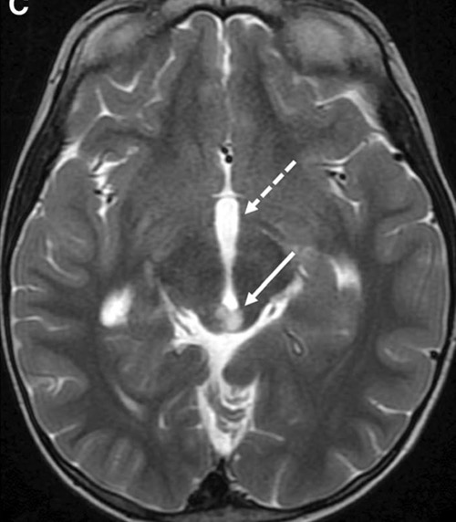
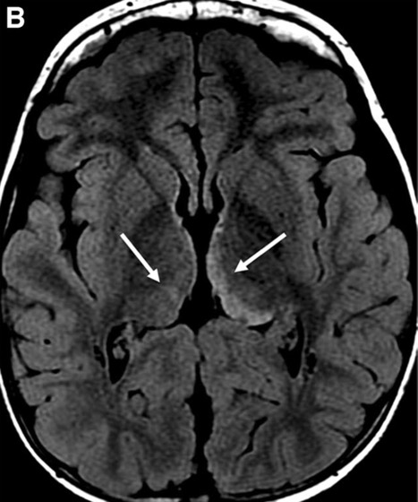
c. Lipomatose encéphalocraniocutanée (ECCL): peau, yeux, SNC)
d. Hamartome PTEN des tissus mous (associé aux syndromes de Cowden et Bannayan-Riley-Ruvalcaba)
e. Spectre de prolifération liée à PIK3CA
Complications:
Effet de masse
Infiltration de structures vitales
ECCL:













croissance excessive du tissu adipeux mature
1. isolée
2. en association avec d'autres tissus mésenchymateux (syndromes de prolifération congénitale)
a. Lipomatose infiltrante congénitale du visage
b. Lipomatose diffuse (associée à la sclérose tubéreuse)
c. Lipomatose encéphalocraniocutanée (ECCL): peau, yeux, SNC)
d. Hamartome PTEN des tissus mous (associé aux syndromes de Cowden et Bannayan-Riley-Ruvalcaba)
e. Spectre de prolifération liée à PIK3CA
Complications:
Effet de masse
Infiltration de structures vitales
ECCL:












