Lésions axonales diffuses
30/08/25 19:24
DÉFINITION
Traumatisme axonale induit par la force d’inertie. Forces d’accélération/décélération et de rotation angulaire. Les structures cérébrales (Ex : cortex, SB) se déplacent alors à des vitesses différentes induisant les traumas par étirements voir déconnexion des axones. .Types de lésions : - Lésions hémorragiques (20 %) : - Lésions non hémorragiques (80%) : le plus souvent non visibles > partie immergée de l’iceberg++ .Localisation : - Jonction SB/SG - lobes fronto-temporaux ++ - Corps calleux (20%) - splénium + - Tronc cérébral - pont. - Moins commun : noyaux gris centraux, corona radiata, pédoncules cérébelleux.

.Taille et morphologie : - punctiforme, ronde, ovoïde. Toujours multiples et bilatérales. - 1 à 15 mm

Associé dans 50 % des cas avec les lésions post-traumatiques intra-axiales

CLINIQUE
-Perte de conscience profonde – Coma : évocateur ++ dans un contexte post-traumatique. -Disproportion des symptômes comparativement aux données du scanner réalisé en urgence+++. > La majorité des lésions sont alors méconnues.
TDM
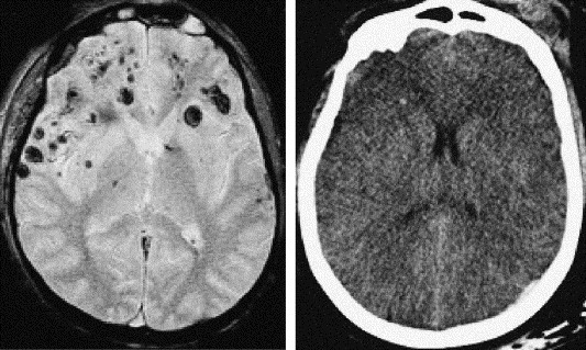
-Normal initialement dans 50 à 80% des cas >méconnait ++ les lésions -Lésions punctiformes hyperdenses spontanément – pétéchies hémorragiques. -Lésions punctiformes hypodenses non hémorragiques – œdème périlésionnel.
IRM
Multiple Lésions punctiformes bilatérales de topographie évocatrice. Examen a visé pronostic à réaliser dans les 7 jours.
-T1 : hypersignal T1 des lésions pétéchiales hémorragiques. -T2 : Lésions pétéchiales hémorragiques de signal variable (dégradation de l’hémoglobine)
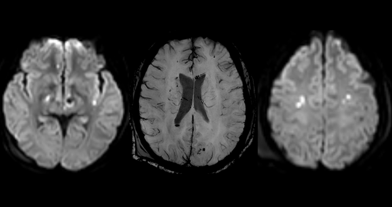
Lésion non hémorragiques en Hypersignal T2 -T2 EG : hyposignal des lésions pétéchiales hémorragiques (susceptibilité magnétique). - SWAN/SWI : Imagerie de susceptible magnétique haute résolution. pétechies +++ -Diffusion (+/- Tractographie): Foyers punctiformes en hypersignal diffusion - restriction ADC.
CAT
Pas de traitement spécifique. Prise en charge symptomatique.
CLASSIFICATION
Adams et Gennarelli : grade 1 à 3 selon la sévérité du trauma et les localisations cérébrales.
DIFFÉRENTIELS
Lésions non hémorragiques multifocale : -Vasculaire : leucoaraisose, lacunes – pas de notion de trauma -Inflammatoire : contexte, localisation périventriculaire, ovoïde, +/- prise de contraste. -Marchiafava-Bignami : Contexte OH chronique, dénutrition, splénium. -Métastases non hémorragiques : primitif, rehaussement. Lésions multifocales hémorragiques : -Angiopathie amyloïde : démence vasculaire, séquelle d’hématome IP, hémosidérose -Cavernomatose : âges différents, histoire familiale. -métastases hémorragiques : contexte, rehaussement.
Traumatisme axonale induit par la force d’inertie. Forces d’accélération/décélération et de rotation angulaire. Les structures cérébrales (Ex : cortex, SB) se déplacent alors à des vitesses différentes induisant les traumas par étirements voir déconnexion des axones. .Types de lésions : - Lésions hémorragiques (20 %) : - Lésions non hémorragiques (80%) : le plus souvent non visibles > partie immergée de l’iceberg++ .Localisation : - Jonction SB/SG - lobes fronto-temporaux ++ - Corps calleux (20%) - splénium + - Tronc cérébral - pont. - Moins commun : noyaux gris centraux, corona radiata, pédoncules cérébelleux.

.Taille et morphologie : - punctiforme, ronde, ovoïde. Toujours multiples et bilatérales. - 1 à 15 mm

Associé dans 50 % des cas avec les lésions post-traumatiques intra-axiales

CLINIQUE
-Perte de conscience profonde – Coma : évocateur ++ dans un contexte post-traumatique. -Disproportion des symptômes comparativement aux données du scanner réalisé en urgence+++. > La majorité des lésions sont alors méconnues.
TDM
-Normal initialement dans 50 à 80% des cas >méconnait ++ les lésions -Lésions punctiformes hyperdenses spontanément – pétéchies hémorragiques. -Lésions punctiformes hypodenses non hémorragiques – œdème périlésionnel.
IRM
Multiple Lésions punctiformes bilatérales de topographie évocatrice. Examen a visé pronostic à réaliser dans les 7 jours.
-T1 : hypersignal T1 des lésions pétéchiales hémorragiques. -T2 : Lésions pétéchiales hémorragiques de signal variable (dégradation de l’hémoglobine)
Lésion non hémorragiques en Hypersignal T2 -T2 EG : hyposignal des lésions pétéchiales hémorragiques (susceptibilité magnétique). - SWAN/SWI : Imagerie de susceptible magnétique haute résolution. pétechies +++ -Diffusion (+/- Tractographie): Foyers punctiformes en hypersignal diffusion - restriction ADC.
CAT
Pas de traitement spécifique. Prise en charge symptomatique.
CLASSIFICATION
Adams et Gennarelli : grade 1 à 3 selon la sévérité du trauma et les localisations cérébrales.
DIFFÉRENTIELS
Lésions non hémorragiques multifocale : -Vasculaire : leucoaraisose, lacunes – pas de notion de trauma -Inflammatoire : contexte, localisation périventriculaire, ovoïde, +/- prise de contraste. -Marchiafava-Bignami : Contexte OH chronique, dénutrition, splénium. -Métastases non hémorragiques : primitif, rehaussement. Lésions multifocales hémorragiques : -Angiopathie amyloïde : démence vasculaire, séquelle d’hématome IP, hémosidérose -Cavernomatose : âges différents, histoire familiale. -métastases hémorragiques : contexte, rehaussement.