Imagerie Pédiatrique 2025
Imagerie Pédiatrique
PLAN DU SITE
TECHNIQUE
PATHO PEDIA GENERALE
NEUROLOGIQUE
ORL/ FACIALE/ COU
THORACIQUE
CARDIO-VASCULAIRE
ABDOMINALE
GENITO-URINAIRE
OSTEO-ARTICULAIRE
PEAU - T. MOUS
ONCOLOGIE
SYSTEMIQUE
SYNDROMIQUE
URGENCES
CONGRES
08 March 2026
01 March 2026
22 February 2026
15 February 2026
08 February 2026
01 February 2026
25 January 2026
18 January 2026
11 January 2026
04 January 2026
28 December 2025
21 December 2025
14 December 2025
07 December 2025
30 November 2025
23 November 2025
16 November 2025
09 November 2025
02 November 2025
26 October 2025
19 October 2025
12 October 2025
05 October 2025
28 September 2025
21 September 2025
14 September 2025
07 September 2025
31 August 2025
24 August 2025
17 August 2025
10 August 2025
03 August 2025
Flux RSS
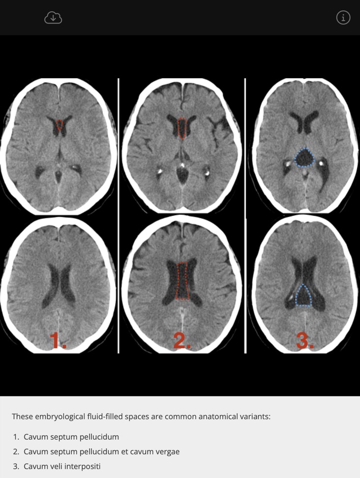
Kystes ligne médiane
06/12/25 05:59