Pathologie tonsillaire: US
28/09/25 15:31




PATHOLOGIES INFLAMMATOIRES

PATHOLOGIES TUMORALES
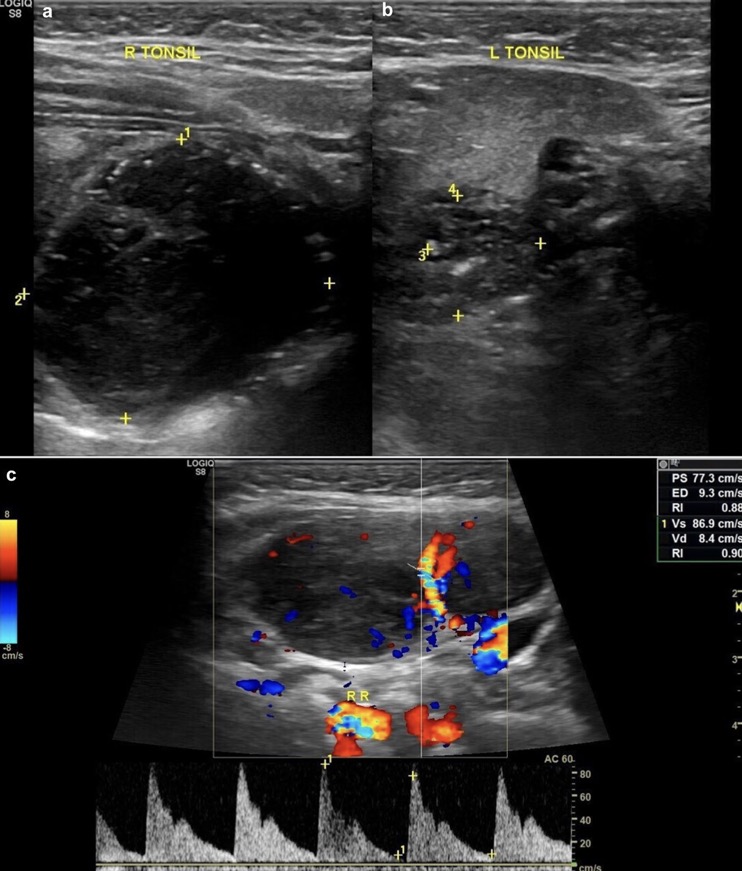
Résultats échographiques indiquant une malignité des amygdales
1. Asymétrie de la taille des amygdales (élargissement unilatéral)
2. Sphérique au lieu d'ovoïde
3. Altération de l'échotexture des amygdales
(A) Homogènement hypoéchogène
(B) Perte de son apparence striée
4. Augmentation de la vascularisation amygdalienne interne
5. Capsule amygdalienne bien définie mais sans limites lobulées régulières
6. Tissus péritonsillaires normaux
7. Ganglions lymphatiques cervicaux régionaux infiltrés
(A) Agrandi et arrondi
(B) Texture hypoéchogène
(C) Absence de hile échogène
(D) Vascularisation intra-nodale accrue et irrégulière
EX: LYMPHOME DE BURKITT

