Thyroïdites auto-immunes
07/06/25 17:35




1. THYROÏDITE DE HASHIMOTO
- Goitre ferme et nodulaire
- (d+)
- Hypothyroïdie
destruction auto-immune des follicules
BIO
- Anticorps anti-thyroxine peroxydase (Ac anti-TPO)
anti-thyroglobuline (Ac anti-Tg)dans un premier temps,
- Elévation puis diminution TSH => T3, T4 libres ↘
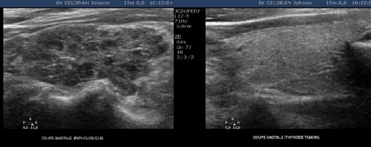
IMAGERIE
US: - de plus en plus hypoéchogène et hétérogène avec travées travées
- petites plages microkystiques (vermoulu)
- PSEUDO-NODULES
DOPPLER
- hypervascularisée avec vitesses A. Thym inf > 40 (N < 40) mais < 100




=> atrophie quasi complète
TRAITEMENT
T4 => normaliser la TSH
2. THYROÏDITE DE BASEDOW
♀ 30 - 50 ans
A. Hyperthyroïdie (poids↘, palpitations, tremblements, thermophobie)
Goitre
B. Ophtalmopathie: infiltration lymphocytaire => rétraction palpébrale > exophtalmie < diplopie < douleur < larmoiement < acuité ↘)
C. myxœdème prétibial : induration cutanée antérieure en plaques rosées peau d’orangeb)
BIO
- T3 T4↗
- Anticorps anti-récepteurs de TSH stimulants
IMAGERIE
US: goitre hétérogène hypoéchogène et fortement hypervascularisé avec vitesses A. Thym inf > 100





TRAITEMENT
- antithyroïdiens de synthèse sont souvent proposés en première
- I131 ou thyroïdectomie
- Bêtabloquant est souvent prescrit, afin
- Benzodiazépines peuvent aider les patients à
- TRT neuro-ophtalmologique
3. THYROÏDITE SUBAIGUË DE DE QUERVAIN,
Douleur antérieur cou irradiée mâchoire, oreilles
après une infection virale VRS (+2 à 6 sem)
♀ 30 - 50 ans
fièvre, Asthénie, myalgies
BIO
- Vs↗ (>50)
- CRP↗
- Thyroglobuline↗
- T3 T4 ↗ (relargage)
anticorps antithyroïdiens
IMAGERIE
US (très douloureuse): hétérogène avec plages hypo-échogènes en flaque d’huile peu vascularisées


TRT
Antalgique, AINS, (bêtabloquants)
=>corticothérapie$
évolution spontanément positive
4. THYROÏDITE CHRONIQUE AUTOIMMUNE
US: aspect en nid d'abeilles

ou en peau de léopard
