Hématome scrotal idiopathique du NN
22/10/25 12:14
Le scrotum aigu néonatal comporte:
1. Torsion testiculaire étant le diagnostic différentiel le plus critique
2. Hématome scrotal idiopathique: gonflement et décoloration du scrotum => perfusion testiculaire préservée
=> DD essentiel: rôle primordial du Doppler

A J3: a,b: Testicule Dt c,d: Testicule gauche

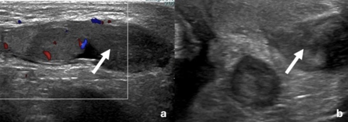
A J4: Hématome (flèche)

1. Torsion testiculaire étant le diagnostic différentiel le plus critique
2. Hématome scrotal idiopathique: gonflement et décoloration du scrotum => perfusion testiculaire préservée
=> DD essentiel: rôle primordial du Doppler

A J3: a,b: Testicule Dt c,d: Testicule gauche

A J4: Hématome (flèche)
