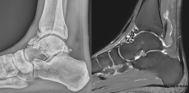
(Ostéo)chondromatose
07/12/25 15:57
Synovialopathie bénigne rare produit des nodules chondraux => libres => Ca++ => chondropathie => Arthrose précoce
N'importe quelle articulation mais genou n°1 > épaule
1 seule articulation !!
30 à 50 ans. ♂ =2x♀
Symptômes non spécifiques :
Douleur, Gonflement, perte de mobilité, blocages, craquement
Diagnostic
RADIOGRAPHIE
Rarement vus

ARTHRO-SCANNER ET ARTHRO-IRM
Nodules moulés
Lésions (cartilages, tendons, ligaments…)



Traitement
Exérèse arthroscopique + synovectomie
N'importe quelle articulation mais genou n°1 > épaule
1 seule articulation !!
30 à 50 ans. ♂ =2x♀
Symptômes non spécifiques :
Douleur, Gonflement, perte de mobilité, blocages, craquement
Diagnostic
RADIOGRAPHIE
Rarement vus

ARTHRO-SCANNER ET ARTHRO-IRM
Nodules moulés
Lésions (cartilages, tendons, ligaments…)



Traitement
Exérèse arthroscopique + synovectomie