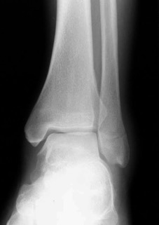
# cheville: score de Weber
La fracture de cheville la plus fréquente est la fracture isolée de la malléole externe due à un mouvement de rotation :
le corps part vers l'intérieur, alors que le pied reste immobile
savoir si le ligament appelé syndesmose est déchiré ou non.
Fracture de type Weber A : fracture en-dessous de la syndesmose ; l`articulation est encore mobile.
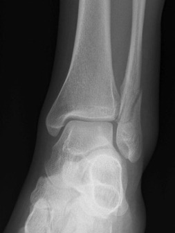
Fracture de type Weber B : fracture à hauteur de la syndesmose ; souvent le ligament est touché à cause d'un mouvement de rotation mais l`articulation peut encore être mobile.
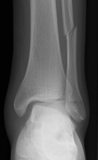
Fracture de type Weber C : fracture au-dessus de la syndesmose ; le ligament est déchiré à cause d'un mouvement de translation latérale.



€


___________________________________________________________________