Ostéosarcome télangiectasique
12/07/25 15:05
DISCUSSION
Variante ostéolytique rare de l'ostéosarcome (11%)
Entre 10-30 ans (comme OSome)
Topo:
- Genou (fémur distal > du tibia proximal) (2)
- Diaphyse 8% (OSome 5%)
- Plus de 90 % de la tumeur = hémorragique- kystique- nécrotique (avant trt)
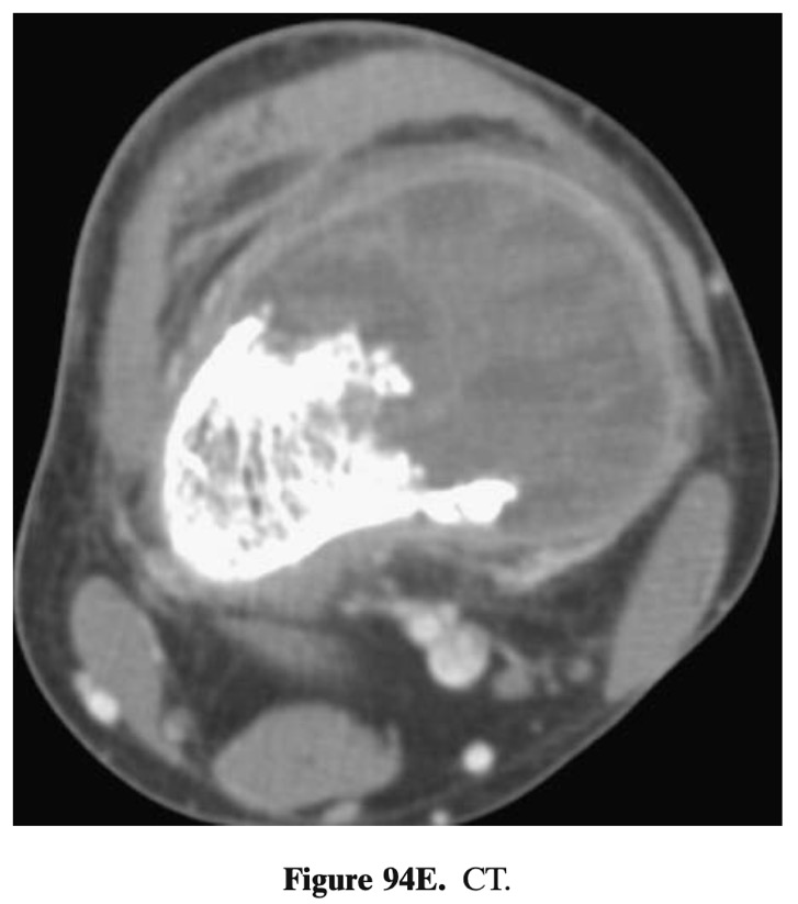
RX: (94D)
- destruction osseuse géographique, en forme de trous de mouche ou perméative avec large zone de transition
- réaction périostée agressive
- masse de tissus mous
- ostéolytique mais 58% avec calcification périphérique (85% vue en CT: 94E)

IRM: (94A 94B 94C)
- iso- à hyperT1 très hétérogène (sang + Ca++)
- hyperT2 très hétérogène (sang + Ca++) 89 % avec niveaux liq-liq
- T1+C masse de tissu mou et/ou septas nodulaires épais

DD:
1. Kyste osseux anévrysmal primaire (ABC) peut se montrer agressif RX et IRM (94F 94G 94H) (12% avec C+ t. Mous central) mais sans destruction corticale étendue ou calcification de la matrice ostéoïde => BIOPSIE composante solide
2. Ostéomyélite
3. Autres TM ( HCL, Ewing, OBome, Lymphome)


TRT:
ChTh
Chir radicale + plastie
PERSPECTIVE ORTHOPÉDIQUE:
Grande difficulté DD avec KAO
PIÈGES ET PERLES
Un ostéosarcome télangiectasique doit être envisagé dans toute tumeur de type ABC présentant une destruction corticale agressive, une masse de tissu mou ou une calcification matricielle.
Questions
1. Vrai ou faux : par définition, la calcification matricielle n'est pas présente dans les ostéosarcomes télangiectasiques.
2. Vrai ou faux : un kyste osseux anévrismal peut simuler un ostéosarcome télangiectasique.
Réponses
1. Faux.
2. Vrai.