Types de Prothèses
14/03/26 09:23
1. PTG
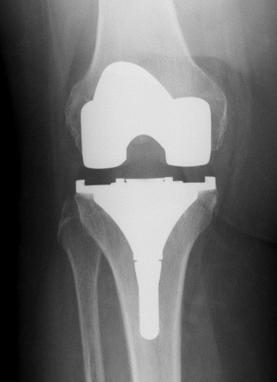
A. PTG à glissement +/- bouton patellaire
le plus couramment utilisé
pour les déformations petites et moyennes
remplace les ligaments croisés
Les ligaments latéraux doivent être en bon état pour assurer une bonne stabilité.


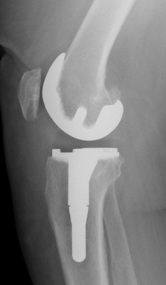
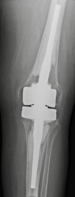
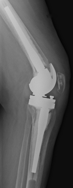
B. PTG à glissement avec quille d'extension tibiale
quille d’extension tibiale.
patients en surpoids ou ostéoporose


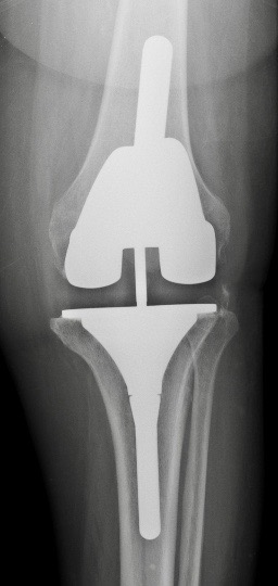
C. PTG de révision
Si faiblesse des ligaments latéraux
Si grandes déformations ou changements de prothèse
quilles d’extension dans le fémur et le tibia pour mieux répartir ces contraintes


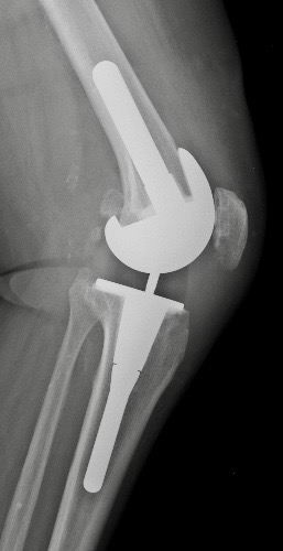
D. Prothèse à charnière (dernier recours si plus de ligament, reprises complexes, fractures sur prothèse)
Remplace les ligaments latéraux
charnière entre le fémur et le tibia (uniquement flexion et extension)
Quilles d’extension sont encore plus longues.


2. PTH
INDICATIONS:
• Arthrose (N°1)
• ONA
• Dysplasie
• Fracture du col
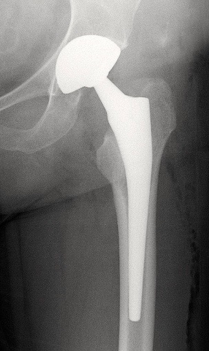
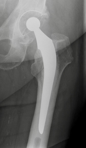
- Scellées avec du ciment chirurgical, ou recouverte d’hydroxyapatite (intégration à l’os)
- Couple de frottement: métal, céramique ou polyéthylène
- Tiges longues ou courtes
- Double mobilité: un insert entre la tête et la cupule
A. PTH avec double mobilité

B. Prothèse de hanche avec céramique

C. PTH avec polyéthylène et tige cimentée

3. La PIH
fractures du col à cotyle intact

A. PTG à glissement +/- bouton patellaire
le plus couramment utilisé
pour les déformations petites et moyennes
remplace les ligaments croisés
Les ligaments latéraux doivent être en bon état pour assurer une bonne stabilité.


B. PTG à glissement avec quille d'extension tibiale
quille d’extension tibiale.
patients en surpoids ou ostéoporose


C. PTG de révision
Si faiblesse des ligaments latéraux
Si grandes déformations ou changements de prothèse
quilles d’extension dans le fémur et le tibia pour mieux répartir ces contraintes


D. Prothèse à charnière (dernier recours si plus de ligament, reprises complexes, fractures sur prothèse)
Remplace les ligaments latéraux
charnière entre le fémur et le tibia (uniquement flexion et extension)
Quilles d’extension sont encore plus longues.


2. PTH
INDICATIONS:
• Arthrose (N°1)
• ONA
• Dysplasie
• Fracture du col
- Scellées avec du ciment chirurgical, ou recouverte d’hydroxyapatite (intégration à l’os)
- Couple de frottement: métal, céramique ou polyéthylène
- Tiges longues ou courtes
- Double mobilité: un insert entre la tête et la cupule
A. PTH avec double mobilité

B. Prothèse de hanche avec céramique

C. PTH avec polyéthylène et tige cimentée

3. La PIH
fractures du col à cotyle intact
